• Perfect breasts-Face
  • Breast Lump
  • Jaw deviations
  • Diabetes-Donor
  • MS-Alzheimer’s-Brain
  • Asthma-COPD
  • Heart complaints
  • Psoriasis-Vitiligo-Eczema
  • Hernia-Skeletal
  • Infertility-Sexuality
  • Poorhearing-deafness
  • Selfregulation-History
  • Dry eye
  • Keratoconus-Rugbyball
  • Cataracts-Glaucoma
  • Visionimpairment-Blind
  • A to E
  • F to J
  • K to M
  • N to R
  • S to W
  • X to Z
  • Conditions
  • Contract

Jaw deviations and digestion- SYMMETRYBODY®

Asymmetrybody causes an unhealthy mouth and digestion

A good mixer is the simplest kitchen appliance, enabling you to chop, grind, mix or purée hard, delicate or liquid ingredients. The mouth is a kind of mechanical mixer, important for speech, digestion and our appearance. Mouth disorders lead to such things as a poor set of teeth. 

.Health = Symmetrybody, digestion, keep moving, social contacts.
 

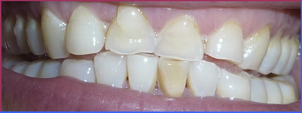
Jaw problems are a particular result of asymmetrybody and lead in turn to other symptoms, such as jaw muscle and jaw joint complaints, teeth-grinding or sticking, crooked teeth or even to tooth decay. Gum disease, root canal infection, nerve pain and teeth that break suddenly belong in this category of complaints, created as a result of an asymmetrical upper and lower jaw; known as “malocclusion”.

These disorders result in progressive dental deterioration. Tooth decay and root canal treatment are among the world’s most prevalent complaints. In tooth decay the nerves and blood vessels become blocked: they begin to die away. With symmetrybody, root canal procedures, operations for an asymmetrical jaw, and braces become unnecessary. The preventive removal of wisdom teeth is not only painful but is an unnecessary and even mistaken procedure. A Body in symmetrybody has a nice set of teeth that last a lifetime. Dentures, the need for implants to apply a bridge etc are luckily things of the past.


Klik op de foto


                                                                        The solution of jaw deviation is officially SYMMETRYBODY   ASYMMETRYBODY causes  cavities (dental caries or tooth decay) and teeth grinding (bruxism) that have nothing to do with stress- SYMMETRYBODY                                                                                    Asymmetrybody causes cavities in teeth.

Asymmetrybody causes maloccclusion - Before movement treatment- SYMMETRYBODY  Asymmetrybody deteriorating teeth and gums- Before movement treatment- SYMMETRYBODY
Before movement treatment-Asymmetry jaw "maloccclusion".

After movement treatment- The recovery of extreme asymmetry jaw and gum disease- SYMMETRYBODY

After movement treatment-The recovery of extreme asymmetry jaw "maloccclusion."

With this revolutionary concept people don’t need medicines, injections, operations or donations




Contact


  • SYMMETRYBODY®
  • Jan Pieterszoon Coenstraat 7
  • 2595 WP The Hague
  • Netherlands
  • info@symmetrybody.com

Twitter of Tajikistan Persian:  https://twitter.com/Symmetrybody_tj

Twitter of Israel Persian:  https://twitter.com/Symmetrybody_il

Twitter of Persian: https://twitter.com/Symmetrybody_ir

We will visit you at home, within Netherlands and foreign countries „Around the world.”


With this revolutionary concept people don’t need medicines, injections, Surgery or donations.

Privacy policy:
Copyright on this site is copyrighted by the brand, logo, diagram, photos, texts, subjects and content.

This website was last modified on 17 September 2014 at 22:10

 

You are invited to contact us


Zoeken


Conditions
Eye complaints
Dry eye
Keratoconus-Rugbyball
Cataracts-Glaucoma
Visionimpairment-Blind
Perfect breasts-Face
Breast Lump
Diabetes-Donor
Asthma-COPD
Heart complaints
Psoriasis-Vitiligo-Eczema
Hernia-Skeletal
Infertility-Sexuality
Poorhearing-deafness
MS-Alzheimer’s-Muscular dystrophy-Parkinson’s
Contract
Contact Us
Twitter

Chamber of Commerce:: 56071930
Registration of International Trademark: 1230376

Copyright 2009 - 2026 Copy: Queen Beatrix, President Barack Obama, WHO, The Lancet, VWS.nl, ZonMw.nl, Minister of security and justice.
Inloggen